Blepharoplasty Case #6005




Description:
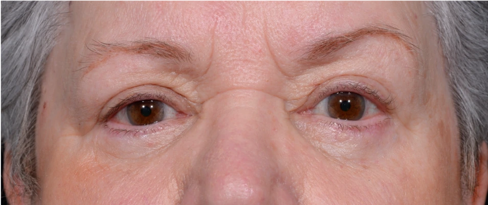
Explore the subtle yet powerful changes made possible through blepharoplasty, also known as eyelid surgery. This procedure is designed to rejuvenate the eye area by removing excess skin and fat from the upper and/or lower eyelids, helping patients look more rested, alert, and youthful.
In the before images, you’ll see common concerns such as drooping eyelids, puffiness, and under-eye bags that can contribute to a tired or aged appearance. The after photos reveal brighter, more defined eyes and smoother contours—achieved with a careful, customized surgical approach.
Each transformation featured here is a reflection of the patient’s unique goals and anatomy, showcasing natural-looking results that enhance, rather than change, their overall appearance.