Skip to main content

Face Before & After


Search By Doctor:

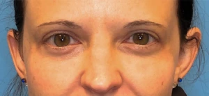
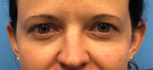
Patient 85 Facelift Case #1951


Click to see more photos

Description:

This gallery showcases the subtle yet striking results of a surgical facelift. The “Before” images capture the natural signs of aging, including skin laxity, loss of facial volume, and fine lines. The “After” photos highlight the rejuvenating effects of the procedure: smoother, tighter skin, restored facial contours, and a refreshed overall appearance.

Each transformation is a testament to the artistry and precision of facial rejuvenation, demonstrating how a facelift can enhance natural beauty while maintaining an authentic, age-appropriate look.


Procedure:
Doctor:

Patient 86 Facelift Case #8874


Click to see more photos

Description:

This gallery highlights the subtle yet striking transformation achieved through a facelift. The “Before” images show the patient’s natural facial structure prior to the procedure, while the “After” images reveal a smoother, more lifted, and youthful appearance. The results demonstrate a careful enhancement that refreshes the face while preserving the patient’s natural expression and individuality.


Procedure:
Doctor:

Patient 87 Facelift Case #9078


Click to see more photos

Description:

This patient underwent a comprehensive facelift designed to restore youthful contours and natural balance to the face and neck. In the before images, you can see visible signs of aging such as skin laxity, jowl formation, and loss of definition along the jawline and neck. The after photos reveal a smoother, more lifted appearance with refined facial contours and a rejuvenated, yet natural-looking result.

All photos are shown with patient consent. Results may vary.


Procedure:
Doctor:

Patient 88 Liposuction Case #368


Click to see more photos

Description:

Patient is shown 6 weeks post op from neck liposuction.


Patient 89 Revision Facelift Case #3082


Click to see more photos

Description:

This patient underwent a revision facelift to address residual skin laxity, asymmetry, and scar irregularities following a previous facial surgery performed elsewhere. The goal of this procedure was to refine facial contours, restore youthful definition to the jawline and neck, and achieve a more natural, balanced appearance.

In the before photos, you can see mild jowling, neck banding, and uneven skin texture resulting from prior surgery and natural aging over time. The after photos, taken several months post-procedure, demonstrate smoother facial contours, improved neck definition, and a harmonious, refreshed look—without the tight or “overdone” appearance.

This case highlights the artistry and precision required in revision facelift surgery, emphasizing natural rejuvenation and restoration of facial harmony.


Procedure:
Doctor:

Patient 90 Facelift Case #8534


Click to see more photos

Description:

These before-and-after photos highlight the transformative results achieved through a facelift procedure. In the “before” images, signs of facial aging such as skin laxity, jowling, and loss of definition along the jawline and neck are visible. The “after” photos, taken once healing was complete, reveal a refreshed, natural-looking rejuvenation — with smoother contours, improved facial balance, and a more youthful overall appearance.

Every facelift is customized to the patient’s unique anatomy and aesthetic goals, aiming to restore confidence while maintaining authentic facial expression and individuality.


Procedure:
Doctor:

Patient 91 Facelift Case #6591


Click to see more photos

Description:

This gallery showcases the transformative results of a facelift procedure, designed to rejuvenate and restore a youthful facial contour while maintaining natural expression.

In the before images, signs of aging such as skin laxity, jowling, and deep facial folds are visible. The after photos, taken several weeks post-procedure, highlight smoother jawline definition, lifted midface contours, and improved overall skin tone and firmness.

The results demonstrate a refreshed, natural appearance — preserving the patient’s unique features while reversing the visible effects of aging.


Procedure:
Doctor:

Patient 92 Facelift Case #5246


Click to see more photos

Description:

These before-and-after photos showcase the results of a facelift performed on a male patient, photographed five months after surgery. The outcome highlights a more refreshed, natural-looking appearance with improved definition along the jawline and neck, while preserving masculine facial features. Skin laxity has been reduced, and overall facial contours appear smoother and more balanced. At this stage of healing, swelling has largely resolved, allowing the refined results of the procedure to be clearly appreciated. Individual results may vary.


Procedure:
Doctor:

Patient 93 Facelift and Facial Fat Grafting Case #3549


Click to see more photos

Description:

These before-and-after images showcase the results of facial fat grafting, a procedure that uses the patient’s own fat to restore volume and enhance natural facial contours. The “before” photos illustrate areas of volume loss and facial hollowing, while the “after” photos demonstrate a softer, more balanced appearance with improved fullness in targeted areas. Results reflect a refreshed look that maintains the patient’s natural features. Individual outcomes vary based on anatomy, treatment plan, and healing process.


Patient 94 Facelift and Facial Fat Grafting Case #7977


Click to see more photos

Description:

These before and after photos show a patient four months following facial fat grafting. The treatment was performed to restore lost volume, soften contours, and improve overall facial balance using the patient’s own fat. At this stage of healing, swelling has resolved and the transferred fat has stabilized, revealing natural-looking fullness in areas such as the cheeks and midface. The result is a refreshed, smoother appearance with improved facial harmony while maintaining the patient’s unique features. Individual results may vary.


Patient 95 Facelift Case #8739


Click to see more photos

Description:

These before-and-after photographs showcase the transformative yet natural-looking results achieved with a facelift procedure. The images highlight improved facial contour, smoother skin, and a more youthful appearance, particularly around the jawline, cheeks, and neck, while preserving the patient’s unique features and expressions. Results reflect a customized surgical approach designed to restore balance and harmony rather than create an overdone look. Individual outcomes may vary based on anatomy, skin quality, and treatment plan.


Procedure:
Doctor:

Patient 96 Facelift Case #3746


Click to see more photos

Description:

The following before-and-after images illustrate the refined results of a facelift procedure performed to address visible signs of facial aging. Improvements can be seen in the overall contour and firmness of the face, with a smoother, more defined jawline, softened folds, and a refreshed appearance of the cheeks and neck. The goal of the procedure was to restore a more youthful, rested look while maintaining the patient’s natural facial structure and expressions. Each treatment plan is tailored to the individual, taking into account facial anatomy, skin quality, and aesthetic goals, and results may vary from patient to patient.


Procedure:
Doctor: