Skip to main content

Eyelid Surgery Before & After


Search By Doctor:

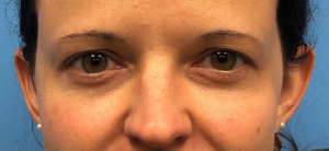
Patient 25 Upper Blepharoplasty Case #27682


Description:

This gallery showcases the transformative yet natural-looking results of an upper blepharoplasty performed on a 66-year-old patient. In the before images, the upper eyelids show noticeable skin laxity and heaviness, creating a tired or hooded appearance. The natural eyelid crease is partially obscured, and excess skin contributes to a feeling of heaviness around the eyes.

In the after images, the upper lids appear more open and defined. The removal of excess skin restores a smoother, more contoured eyelid shape while preserving the patient’s natural expression. The eyes look brighter and more refreshed, reflecting a rejuvenated but authentic appearance. Overall, the results highlight how a subtle, expertly performed upper blepharoplasty can enhance facial harmony and provide a more youthful, rested look.


Procedure:
Doctor:

Patient 26 Blepharoplasty Case #24169


Click to see more photos

Description:

This 67-year-old patient sought treatment to address age-related changes around the eyes, including eyelid heaviness, puffiness, and lower-lid laxity. The photos shown illustrate her appearance before and after undergoing combined upper and lower blepharoplasty.

In the after images, the natural contours of the upper eyelids appear more defined, and the lower eyelid area shows a smoother, more rested look. The results highlight a refreshed periorbital appearance while maintaining the patient’s natural character and facial harmony.

These photos represent one individual’s experience; results vary for each patient based on their anatomy and treatment plan.


Procedure:
Doctor:

Patient 27 Lower Blepharoplasty Case #28049


Description:

These images illustrate the transformative effects of lower blepharoplasty. The “before” photo shows mild to moderate under-eye puffiness and subtle lower eyelid laxity, contributing to a tired or aged appearance. The “after” photo demonstrates a smoother, more youthful lower eyelid contour, with reduced under-eye bags and improved overall eye definition. Results highlight the patient’s refreshed, natural look while maintaining facial harmony.


Procedure:
Doctor:

Patient 28 Lower Blepharoplasty Case #359


Click to see more photos

Description:

These before and after images highlight the results of lower blepharoplasty, a procedure designed to address under-eye puffiness, excess skin, and hollowing that can create a tired or aged appearance. In the preoperative photos, fullness and skin laxity beneath the eyes are visible. The postoperative images demonstrate a smoother, more refreshed lower eyelid contour with improved skin tone and a natural transition between the lower eyelid and cheek.

The outcome preserves the patient’s natural eye shape while reducing under-eye bags and restoring a brighter, well-rested appearance. Results shown reflect careful surgical technique tailored to the patient’s anatomy, with the goal of subtle, balanced rejuvenation rather than an over-corrected look.

Individual results may vary. Photos are shown with patient consent.


Procedure:
Doctor:

Patient 29 Quad Blepharoplasty Case #358


Click to see more photos

Description:

These before-and-after images highlight the early results at two months following a quad blepharoplasty (upper and lower eyelids) combined with upper lid levator tightening. The procedure was performed to address upper lid drooping, excess eyelid skin, and lower lid fullness while preserving a natural appearance.

Postoperatively, the upper eyelids show improved height and symmetry with reduced heaviness, reflecting enhanced eyelid support from the levator tightening. The lower eyelids appear smoother and more refreshed, with better contour and less prominence of under-eye fullness. At this stage of healing, mild swelling may still be present, and results are expected to continue refining over the coming months.

Individual outcomes vary, and these photos represent an early phase of recovery.


Procedure:
Doctor:

Patient 30 Upper Blepharoplasty Case #393


Description:

These before and after photographs highlight the patient’s upper blepharoplasty results at three months following surgery. Prior to the procedure, excess upper eyelid skin contributed to a heavier, more fatigued appearance of the eyes. The goal of surgery was to create a more open, refreshed look while maintaining the patient’s natural eye shape and facial harmony.

At three months post-operative, the upper eyelids demonstrate improved contour and definition, with reduced hooding and a brighter, more alert appearance. The eyelid crease is smooth and well positioned, and the results appear balanced and natural rather than overcorrected. Incisions have healed well and are discreetly concealed within the natural eyelid folds. While subtle refinement may continue as healing progresses, these images reflect a stable, aesthetically pleasing outcome that enhances the overall expression of the face.

.


Procedure:
Doctor:

Patient 31 Quad Blepharoplasty Case #357


Click to see more photos

Description:

These before and after photographs showcase the results of a revision quad blepharoplasty combined with fat grafting to the cheeks, taken three months following surgery. The revision blepharoplasty was performed to refine both the upper and lower eyelids, improving eyelid contour, symmetry, and overall eye openness while preserving a natural, refreshed appearance.

Fat grafting to the cheeks was added to restore soft volume and enhance midface support, contributing to smoother transitions between the lower eyelids and cheeks and a more balanced facial profile. At three months post-operation, swelling has largely resolved, allowing the improved definition of the eyelids and the subtle, natural fullness of the cheeks to be appreciated. The overall result is a rejuvenated yet natural look that enhances the patient’s features without appearing overcorrected.


Procedure:
Doctor:

Patient 32 Upper Blepharoplasty Case #14261


Description:

These before and after photographs show a patient six months following upper blepharoplasty. The procedure was performed to address excess upper eyelid skin and improve eyelid contour. At this stage of healing, swelling has fully resolved and the incision lines have matured, blending naturally into the eyelid crease. The after images demonstrate a smoother upper eyelid appearance with improved symmetry and a more open, rested look, while maintaining the patient’s natural eye shape and expression. Individual results may vary.


Procedure:
Doctor:

Patient 33 Upper Blepharoplasty Case #288


Description:

Before-and-after images of a male patient who underwent upper blepharoplasty, shown 3 months post-operatively. The after photos demonstrate a more open, rested appearance of the eyes with improved upper eyelid contour while maintaining a natural, masculine look. Residual swelling has resolved, and the eyelid crease appears well-defined yet subtle, with results that complement the patient’s overall facial features.


Procedure:
Doctor:

Patient 34 Lower Blepharoplasty Case #289


Description:

This series highlights the transformative results of lower blepharoplasty, a surgical procedure designed to address under-eye bags, excess skin, and puffiness. The “before” images illustrate the patient’s concerns, including visible under-eye fullness and mild skin laxity. The “after” images demonstrate a smoother, more youthful contour of the lower eyelids, with a refreshed and natural appearance.

The results emphasize subtle enhancement, maintaining facial harmony while reducing the signs of aging. Individual outcomes may vary, and each procedure is tailored to the patient’s unique anatomy and aesthetic goals.


Procedure:
Doctor:

Patient 35 Lower Blepharoplasty Case #26440


Description:

This patient underwent lower eyelid surgery to remove excess fat.


Procedure:
Doctor:

Patient 36 Lower Blepharoplasty Case #287


Description:

This patient had upper and lower blepharoplasty surgery.


Procedure:
Doctor: