Eyelid Surgery Before & After
Search By Doctor:
Patient 37 Facelift Facial Fat Graft Blepheroplasty Necklift Case #7796
Doctor: Dr. Arjun Kanuri
Patient 38 Facelift Necklift Blepharoplasty Case #5535
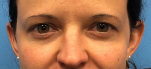
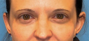
Patient 39 Facelift Facial Fat Graft Blepharoplasty Necklift Case #7934
Doctor: Dr. Arjun Kanuri
Patient 40 Facelift Facial Fat Grafting Browlift Blepharoplasty Necklift Case #4176
This patient underwent a comprehensive facial rejuvenation procedure, including a Facelift 360, brow lift, upper and lower blepharoplasty, facial fat grafting, and neck lift. The goal was to restore a more youthful, refreshed appearance while maintaining natural facial harmony.
In the before photos, signs of aging are visible through skin laxity in the lower face and neck, volume loss in the midface, heaviness of the upper eyelids, and descent of the brows. These changes can contribute to a tired or aged appearance.
The after photos demonstrate a smoother, more contoured jawline and neck, with improved definition and reduced sagging. The brow position is elevated, creating a more open and alert expression, while the eyelids appear refreshed and rejuvenated. Facial fat grafting has restored natural volume to the cheeks and midface, enhancing overall balance and softness.
The result is a natural-looking, well-rested appearance that preserves the patient’s unique features while subtly turning back the clock.
Doctor: Dr. Arjun Kanuri
Patient 41 Facelift Facial Fat Grafting Necklift Blepharoplasty Case #9823
This patient underwent a comprehensive facial rejuvenation with a Facelift 360, facial fat grafting, and blepharoplasty to restore a more youthful, refreshed appearance while maintaining natural facial harmony.
In the before photos, signs of aging are visible, including skin laxity along the jawline and neck, volume loss in the midface, and heaviness around the eyes contributing to a tired appearance. The treatment plan was designed to address these concerns holistically.
The Facelift 360 refined the lower face and neck, improving contour and definition. Facial fat grafting restored lost volume, particularly in the cheeks and under-eye area, enhancing softness and balance. Blepharoplasty rejuvenated the upper and lower eyelids, reducing excess skin and puffiness for a brighter, more alert look.
In the after photos, the patient appears naturally rejuvenated, with smoother contours, restored volume, and refreshed eyes—without looking overdone. The results highlight a more youthful version of the patient while preserving their unique features.
Patient 42 Facelift Lower Blepharoplasty Case #6866
These before-and-after images highlight the refined, natural-looking results achieved with a facelift combined with lower blepharoplasty. Prior to surgery, the patient presented with facial laxity in the lower face and neck, along with under-eye fullness and shadowing that contributed to a tired appearance.
Following surgery, the after photos show a smoother, more youthful contour of the jawline and neck, with improved definition and balance. The lower eyelids appear refreshed and rested, with reduced puffiness and a softer transition between the eyelid and cheek. Overall, the results enhance the patient’s natural features while preserving facial expression, creating a rejuvenated appearance rather than an altered one.
Individual results may vary. These photos are shown for educational purposes and reflect outcomes after appropriate healing time.
Patient 43 Facelift Rhinoplasty Blepharoplasty Case #3220
Browse our gallery featuring the remarkable transformation of a male patient who underwent facelift, rhinoplasty, and blepharoplasty surgeries. These before and after photos highlight the enhanced facial contours, improved nose shape, and rejuvenated eye area, offering a refreshed, youthful appearance.

Before facelift surgery for male patient, showing visible signs of aging and sagging skin around the face and neck

After facelift, Rhinoplasty, Lower Blepharoplasty surgery for male patient, demonstrating smoother skin, enhanced facial contours, and a more youthful appearance.
Doctor: Dr. Arjun Kanuri
Patient 44 Facelift Case #14406
67-year old patient underwent a full facial rejuvenation surgery which included a facelift, necklift, upper and lower blepharoplasty.
Results shown are 8 months post op.